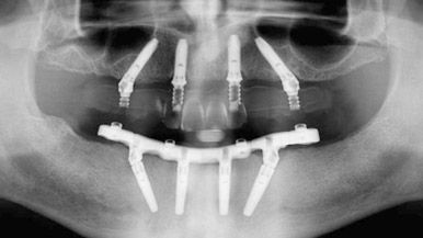
3 On 6 Implant System is a restoration treatment in which the patient receives 3 zirconia bridges that are supported by 6 implants (2 for each bridge), which makes it an aesthetically natural, comfortable, and affordable alternative to dentures.
One of the biggest advantages that offer the 3 on 6 Implant System, is that needs lower maintenance compared with almost any other mouth restoratión; it can be cleaned with dental floss, water, and the conventional hygiene routine, unlike the All on 6 treatment, which must be removed once every 1-2 years for correct maintenance.


Benefits of Getting a
3 On 6 Implants
3 on 6 Treatment is the best solution for people who do not have bone deterioration, it is also a very comfortable method because requires little maintenance, no glues, or additional accessory.
- Resistance & Comfort: There is no artificial gum on the teeth, so eating will be like using your natural teeth.
- Permanent Placement: The number of implants provides better strength than other Full Mouth Restorations(All on 6, All on 4).
- Minimal Maintenance: This implants system can be cleaned with dental floss, water-pic, and conventional hygiene routine.
- Natural Look: 3 on 6 implants use your natural gingiva to get a natural look and function, additionally, bridges are digitally designed with top dental materials such as Porcelain and Zirconia.
3 On 6 Implants Cost in Mexico
Unlike Dentures, All on 6 or Other Restorative Treatments, 3 on 6 Implants doesn’t fall out unexpectedly, doesn’t cause gagging or slurred speech, doesn’t need to be removed daily, promotes healthy bone in the jaw
3 On 6 Costs go on average from $13,000 USD per full arch and consist of 2 phases (one surgical and another restorative) of $6,500 USD each with 4 – 6 months of healing between them.
- 6 implants $900 each implant
- Free abutments
- Implant placement
- 3 bridges $450 each tooth
- Materials:
- Zirconia or Porcelain
Possible Additional Costs
As a result of your initial evaluation, certain additional treatments might be necessary to complete your dental work, you can find the prices for them below:
| Simple Extraction | $60 USD per extraction |
| Surgical Placement of Implant body | $3,600 USD four implants |
| Bone Graft | $350 USD per CC |
| Reabsorbable Membrane | $100 USD per membrane |
| Aveloplasty / Bone Remodeling | FREE charge |
| Intravenous Conscious Sedation / Analgesia | $500 USD |
| Nitrous (Laughing Gas) | $250 USD |
| Local Anesthesia | FREE charge |
| Temporary Healing Denture | $580 USD per arch |
| Immediate Load Denture (whit CAD/CAM bar or connectors) | $1,800 USD |
Am I a good candidate for 3 on 6 Implants?
We can consider that you are a good candidate for the 3 on 6 implants system if you:
- Lost all your teeth and are seeking an affordable alternative to all on 4 dentures.
- Want to stop using dentures, because these are uncomfortable, irritating, and cause loss of taste.
- Have not a huge deterioration of bone, decreasing bone density, or reduction of height/width of bone where the implants will be placed.
If you have been diagnosed with a large loss of bone density, you will probably be prescribed other alternative treatments such as All on 4.

3 On 6 Implants Process
The 3 on 6 Implant System consists of 2 trips to Cancun, the first is the Surgical Phase (placement of the implants), and the second is the Restorative Phase (personalized design and application of bridges), with a period of 4 or 6 months between them called Osseointegration
Surgical Phase

Free Comprehensive Evaluation
The 3 on 6 Treatment begins with a Comprehensive Evaluation. A 3D CBCT Scan and Panoramic X-Ray let us know If you have a huge deterioration of bone, decreasing bone density, or reduction of height/width of bone, this information helps us to determine if you are a candidate for this treatment.

Planning Implants Placement
As a result of a Comprehensive Evaluation, our Specialists make the best plan for dental implants placement taking into count the quality of your bone.
Once an adequate prosthetic plan has been established, the patient will be ready to receive dental implants. Surgical Guides and NAVIDENT (Dynamic Navigation for Dental Implantation) facilitate ideal implants placement.

Surgery
If you are not an edentulous patient, teeth extraction is necessary, as equal as bone grafting to “fill up” the space left by the teeth roots when are extracted.
Our Maxillofacial Surgeon and Implantologist will place 6 implants in the top and/or bottom arch. We will provide you with a temporary denture while the osseointegration time occurs.

Osseointegration time
Consist in a period time between 4 – 6 months. During this time the implants fuse with the bone to become one solid, load-supporting object, similar to your previous natural teeth roots.
Restorative Phase
In the Restorative Phase, the implants are rehabilitated to place the bridges. Each bridge will be permanently supported and secured by 2 implants on each side.
You will receive 3 Zirconia or Porcelain Bridges, these materials make bridges lighter and up to fifty percent more fracture-resistant, giving our patients more durable dental restorations.

3 On 6 Treatment Alternatives
Snap-on Dentures
This alternative consists of dentures that “Click – Attach – Retain”, onto Implants, this Implants can be Mini or Regular and can range from at least 2 to 8 Implants per arch.
Full Mouth Reconstruction
Is a term used to indicate the application of extensive and intensive restorative procedures in order to modify the occlusal plane in many aspects to accomplish “equilibration”
All on 4
The All on 4 System is a treatment that consists of the placement of four angled Implants and an Implant bar/bridge for the restoration of upper and lower teeth.



