E Max Porcelain Crowns

Before and After

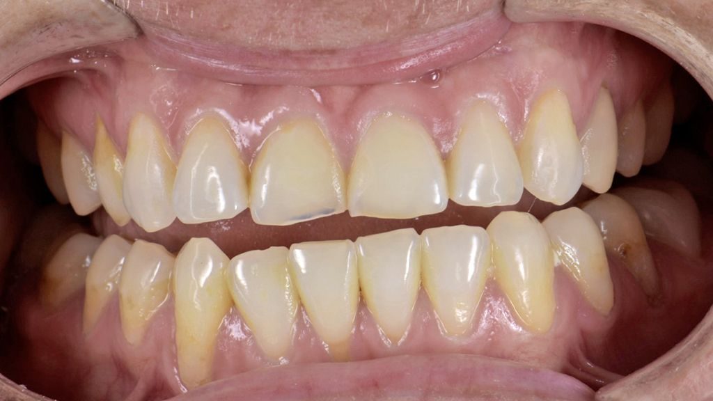
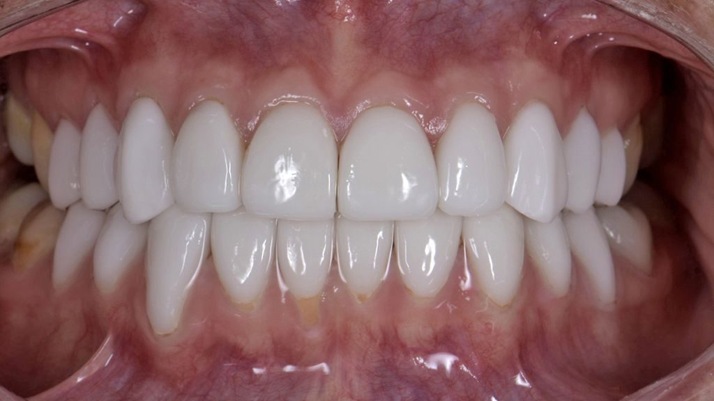
Mr. Srito

Before & After Dental Crowns in Mexico

Porcelain Crowns

Dental Crowns are done by a Restorative Specialist and involve shaving a small amount of the enamel surface from the tooth in order to get proper retention for the Crown. Dental Crowns are a great solution to patients who suffer from cracked, chipped, misaligned, or stained teeth.

SAVE UP TO 70% IN YOUR DENTAL CARE!

Experience, expertise and innovation to the Best Price

Menu