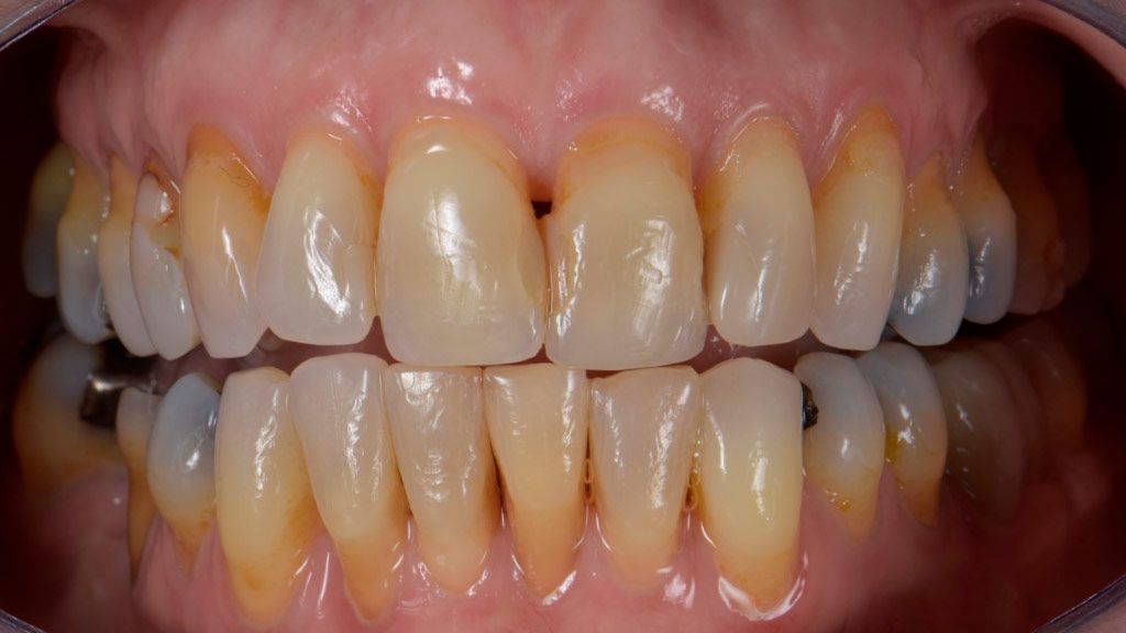
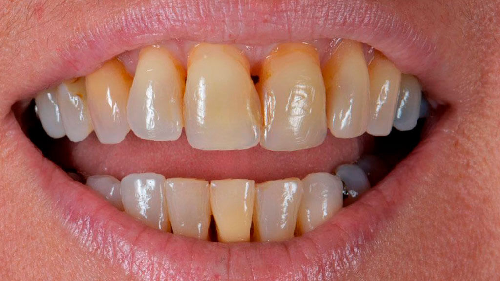
Full Mouth Reconstruction

Before and After

Mrs. Mcpadden

Full Mouth Reconstruction

Full Mouth Reconstruction is a term used to indicate extensive and intensive restorative procedures in which the occlusal plane is modified in many aspects to accomplish “equilibration”.

SAVE UP TO 70% IN YOUR DENTAL CARE!

Experience, expertise and innovation to the Best Price

Menu