Before and Afters of Dental Treatments in Mexico

Cancun Dental Specialists Before and Afters, Top Dentistry in Cancun. Hundreds of Complex Treatments are Documented every step of the way. We have Before and Afters for  Full Mouth Reconstructions, Full Smile Makeover, Implants, Dental Veneers, and Zirconia/Porcelain Crowns. 

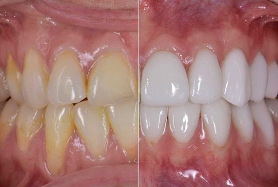
FULL CASE
Full Mouth Reconstruction
FULL CASE
Veneers E-Max
FULL CASE
Full Mouth Reconstruction
FULL CASE
Dental Crowns
FULL CASE
Full Mouth Reconstruction
FULL CASE
Dental Implants & Crowns
FULL CASE
Full Mouth Reconstruction
FULL CASE
Dental Veneers
FULL CASE
E Max Porcelain Crowns

Top Quality Dental Treatments in Mexico

We are a passionate team of Specialists in Dental Health that are located in Cancun. CDS is the Best Clinic in Dental Tourism in Mexico, with the expertise of Dr. Irma Gavaldon (D.D.S. M.S. A.E.G.D.) and with the innovation of Last Generation Technologies, we can perform treatments in short time frames (5-14 days depending on Treatment), but most importantly, offer to our patients better results than they expect.

Before
After

Why get your treatment in Cancun?

  • Experience, expertise, and innovation (more than 10,000 treatments).
  • The U.S. licensed dentists and specialists in each area of dentistry.
  • Largest equipped clinic in Mexico (3D tour through our facilities).

Hundreds of Documented Dental Cases

Our Dental Specialists help our patients obtain outstanding results, always depending on the needs of their case. At Cancun Dental Specialists we are prepared to solve any dental work, even the most complex, we have specialties such as Maxillofacial Surgery, Endodontics, and Periodontics.

FULL CASE
Dental Veneers
FULL CASE
Smile Makeover
FULL CASE
Dental Veneers
FULL CASE
Full Mouth Reconstruction
FULL CASE
Smile Makeover
FULL CASE
Dental Crowns
FULL CASE
Full Mouth Reconstruction
FULL CASE
E Max Porcelain Crowns
FULL CASE
Full Mouth Reconstruction
Contact Us!
X Contact Us!

    Preferred Time to Reach You

    Preferred Method of Contact:
    CallEmailSMS

    Chat with us!
    X
    Chat with us!